New England Journal of Medicine
Audio By Carbonatix
The damage in the lungs of some patients who have become ill after vaping looks like what would have occurred in the lungs of soldiers exposed to lethal gases, a Scottsdale-based Mayo Clinic doctor said after the release of a study on Wednesday that’s garnering national attention.
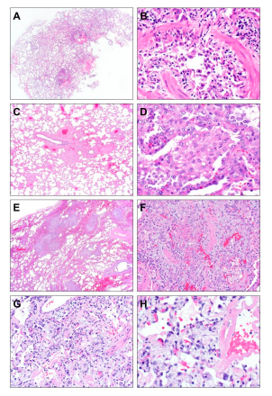
Dr. Brandon Larsen, who co-authored the new study that examined lung biopsies from 17 vape-related injuries in Arizona and other states, said all the cases he examined had the same “very severe, acute injury” – one that resembled a chemical fume burn.
“Like in World War I, the soldiers in the battlefield were exposed to mustard gas,” he said. “Or in World War II with chlorine gas. It’s pretty profound what we see in the lungs. It’s pretty severe.”
What exactly caused the burn-like injuries remains unknown.
This year, make your gift count –
Invest in local news that matters.
Our work is funded by readers like you who make voluntary gifts because they value our work and want to see it continue. Make a contribution today to help us reach our $30,000 goal!

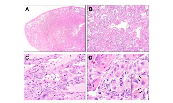
Surgical lung biopsies show injuries related to vaping in a new study.
New England Journal of Medicine
The findings published in the New England Journal of Medicine included samples from 13 male and four female vape users across the country, ranging in age from 19 to 67. At least 10 of the 17 had a history of smoking THC or cannabis oils. Two of the biopsies came from patients who died.
The study is the first to examine changes in lung tissue as they relate to vaping, but Larsen said at least one study to be published in another journal soon will corroborate its findings.
The new research comes as at least 805 cases of vaping-related lung injury have sprung up across 46 states and the U.S. Virgin Islands, according to the Centers for Disease Control and Prevention. Reports show at least 15 of these cases resulted in deaths.
The findings by Larsen and his colleagues seem to contradict one popular theory about what’s happening in the lungs of patients, which said that inhaling fatty substances like vitamin E extract was causing the accumulation of lipids in the lungs. While Larsen said it’s too soon to count out such substances as potential culprits for lung damage, he said he didn’t observe any evidence supporting that in his research.
“If you take a step back, I think it makes sense if you think about the problem in general,” Larsen said. “You’ve got people vaping all kinds of things that they get on the market, through the black market, online, a lot of substances that people have no clue what they actually contain. Chemical substances, flavoring substances, and then they’re vaporizing that and inhaling that. The only thing that makes sense is that this has got to be some sort of toxic injury response to something. I wish we knew what that substance was.”
Researchers nationwide are still scrambling to try to identify what’s causing people to fall ill from vaping. Some states, including Michigan, New York, and Massachusetts, have acted to temporarily ban the sale of vaping products. While some surveys suggest black-market, THC-containing vape products could be to blame – a CDC study released Friday found that 87 percent of patients in one survey used “prefilled cartridges obtained from informal sources” – the CDC still says “no single product or substance has been linked to all lung injury cases.”
In Arizona, Governor Doug Ducey has said he’s “concerned” about the problem but not ready to take any immediate action banning vaping products. The Arizona Department of Health Services said Wednesday the number of reported cases in the state has risen to seven.
Larsen says his research team will continue to study lung biopsies as they come in. They face a challenge they haven’t faced with cigarettes or traditional marijuana products – the sheer number of potential substances that could be involved.
“We have decades of experience with smoking tobacco, but vaping is potentially thousands of different things,” he said. “Different flavors, different chemicals, different oils and substances and the user can modify it, add a little of this, add a little extra. I think the problem is so complex that it’s going to take a long time to get to the bottom of this.”